Descoberta radiológica acelera diagnóstico de doença que atinge o Sistema Nervoso Central

12/08/2025 - 12:41  •  Atualizado 12/08/2025 12:44
Texto: Sueli de Freitas
Compartilhe
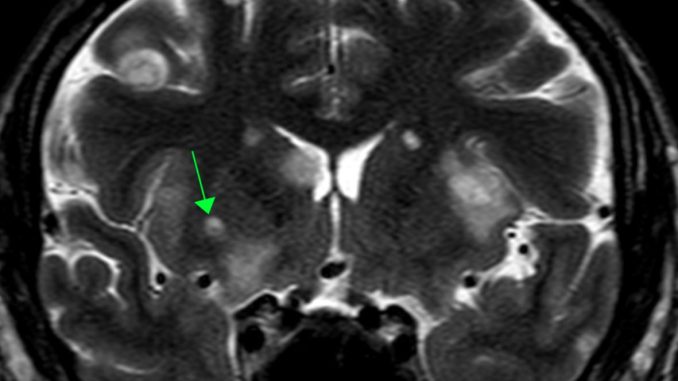
Imagem de ressonância magnética feita no cérebro

Em pesquisa inédita, um grupo da Ufes descreveu achados em exames de imagem, principalmente em ressonância magnética, que podem antecipar o diagnóstico de neurocriptococose – uma doença infecciosa que atinge o Sistema Nervoso Central e é causada por fungos das espécies Cryptococcus neoformans e Cryptococcus gattii, encontrados em solo contaminado com excrementos de animais e madeira em decomposição. 

A pesquisa rendeu a publicação de dois artigos: Ensinando NeuroImage: Criptococose no Sistema Nervoso Central Mimetizando Neurocisticercose, que saiu na Neurology, uma das maiores revistas de neurologia do mundo; e O espectro dos achados radiológicos em neurocriptococose: uma série de casos e revisão sistemática, publicado na revista Radiologia Brasileira.

A neurocriptococose atinge, especialmente, pessoas com sistema imunológico comprometido, como pacientes com aids, receptores de órgãos transplantados e indivíduos com doenças hematológicas malignas, e também pacientes imunocompetentes, ou seja, que não têm alteração na imunidade. Há alto risco de óbito e desenvolvimento de sequelas neurológicas permanentes.

“Nosso grupo descobriu e descreveu, pela primeira vez, uma lesão cística com um nódulo periférico dentro dessa lesão acontecendo em pacientes com neurocriptococose. Essa descoberta ajuda a fazer o diagnóstico precocemente e a tratar os pacientes de forma assertiva, evitando a mortalidade, pois é uma doença gravíssima”, explica o professor de Radiologia Marcos Rosa Júnior, do Departamento de Clínica Médica da Ufes.

O estudo foi desenvolvido por Rosa Jr. junto com pesquisadores do setor de neurorradiologia do Hospital Universitário Cassiano Antonio Moraes (Hucam): Cláudia Biasutti, infectologista do Hucam; Eduardo Cots e Anna Luisa Campos, médico e médica residentes; e Kezia Pinheiro e Matheus Rassele, ex-estudantes do curso de Medicina da Ufes.

Destacando a importância do estudo, Rosa Jr. explica que os critérios de diagnóstico de outra doença infecciosa, a neurocisticercose – causada por tênia que se aloja no cérebro –, apontavam que a presença nos exames de imagem de lesão cística com nódulo (comparável a uma pequena bola) confirmava com quase certeza a neurocisticercose. “O que nosso grupo descobriu é que a presença dessa lesão cística com um nódulo dentro não é patognomônico de neurocisticercose, ou seja, não é um sinal tão específico a ponto de diagnosticar essa doença, pois pode acontecer também na neurocriptococose, como descrevemos”, diz o professor.

Casos

Em uma das publicações científicas, os pesquisadores envolvidos relatam que selecionaram nove casos de neurocriptococose  – oito tratados no Hucam e um em outra instituição hospitalar – surgidos entre maio de 2014 e maio de 2022. Também foi feita uma revisão sistemática da literatura científica para identificar os padrões de acometimento que podem subsidiar o diagnóstico de neurocriptococose em exames de imagem, usando as bases de dados PubMed, Embase e Lilacs para identificar artigos publicados entre julho de 1978 e maio de 2022.

“Fizemos a revisão sistemática com busca na literatura, incluindo 416 artigos, e não encontramos essa descrição. Então, descrevemos pela primeira vez um caso específico na revista internacional. Para ilustrar o segundo artigo, foram escolhidos nove casos de neurocriptococose”, explica Rosa Jr.

O professor informou que “depois da descrição da ocorrência das imagens [relacionando-as à neurocriptococose], no nosso próprio serviço [de saúde] apareceram outros casos semelhantes. Em um deles, rapidamente foram investigadas as duas doenças [neurocriptococose e neurocisticercose] para que não houvesse dúvida no diagnóstico final. Hoje, outros pesquisadores estão descrevendo esse achado e citando nosso trabalho inicial. Assim, ajudamos não só os nossos pacientes, mas a literatura mundial”. 

A pesquisa foi parcialmente apoiada pelo Conselho Nacional de Desenvolvimento Científico e Tecnológico (CNPq) e pela Fundação de Amparo à Pesquisa e Inovação do Espírito Santo (Fapes).

Imagem: Acervo da pesquisa

Categorias relacionadas